Cosmetic Dentists & Cavities: What You Need to Know
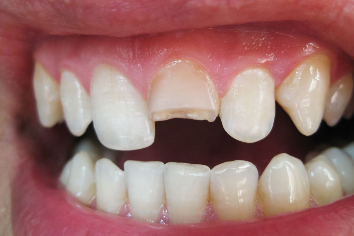
Most people think of bright, perfect smiles when they hear the term cosmetic dentistry. While cosmetic dentists help improve aesthetics, they can also provide restorative services like cavity treatment. At Knoxville Smiles at Malone & Costa Dentistry, we marry form and function to create healthy, beautiful smiles. Cosmetic Dentistry and Cavity Care in Knoxville What Are Cosmetic Fillings? Cosmetic fillings, or composite fillings, address cavities by maintaining the natural look of the teeth. The process involves removing the decayed portion of the tooth, cleaning the affected area, and then filling it with the tooth-colored resin. Unlike traditional metallic fillings, cosmetic … Continue reading
